手術
Surgery特色
整形外科手術に積極的に取り組んでいます
大腿骨頚部骨折をはじめとした各種骨折、脊椎の圧迫骨折に対する手術、変形性関節症など加齢やリウマチ・膠原病に伴う変性疾患に対して人工関節置換術などを実施しています。 手術室は、感染症を予防するためNASA規格であるクラス1000の高い水準を満たしているクリーンルーム(無菌手術室)です。手術室専任の看護師による徹底した衛生管理も実施され、また、常勤の麻酔科医師も在籍しておりますので、安全・安心して手術を受けて頂ける体制を整備しております。
手術後は当院でリハビリテーションを実施
高度急性期病院では、整形外科の手術後は別のリハビリを行う専門の病院に転院してリハビリを行うのが通例となっております。当院では、リハビリスタッフが多数在籍しているため、手術後は転院することなくリハビリを実施できます。回復期リハビリテーション病棟という、リハビリを集中して実施する病棟もございます。家に帰られた後、より自分らしい生活が送れるよう、一人ひとりに適したリハビリを実施していきます。
回復期リハビリテーション病棟について担当医師表
整形外科 部長
陳 維嘉 Weijia Chen
整形外科
- 出身大学 九州大学[平成9年卒業]
- 資格・所属学会 医学博士/日本整形外科学会 整形外科専門医/日本整形外科学会 運動器リハビリテーション医/日本整形外科学会 リウマチ医/日本整形外科学会 スポーツ医/日本人工関節学会/日本手の外科学会/日本リウマチ学会/American Academy of Orthopaedic Surgeons
整形外科 医長
柴田 英哲 Hideaki Shibata
整形外科
- 出身大学 久留米大学[平成19年卒業]
- 資格・所属学会 医学博士/日本整形外科学会 整形外科専門医/日本体育協会スポーツドクター/日本スポーツ整形外科学会/日本肩関節学会/日本肘関節学会/日本骨折治療学会
整形外科 医長
中山 大資 Daisuke Nakayama
整形外科
- 出身大学 佐賀大学[平成21年卒業]
- 資格・所属学会 日本整形外科学会 整形外科専門医/厚生労働省 麻酔科標榜医/西日本整形・災害外科学会/日本脊椎脊髄病学会
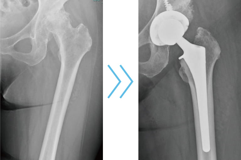
人工股関節置換術(THA)とは
人工股関節置換術(THA)とは
変形性股関節症や大腿骨頭壊死症、関節リウマチの股関節病変など様々な疾患のために股関節に著しい障害が起こり、痛みや動きづらさで日常生活に支障が出てくる場合があります。そのような場合に、その障害のある関節を金属やセラミック、ポリエチレンなどでできた人工関節に入れ替えることで、痛みがなくなり、歩行能力が改善されます。
人工股関節置換術(THA)担当医師
佐賀大学医学部整形外科の馬渡 正明名誉教授のご協力のもと、人工股関節置換術(THA)を定期的に行っています。安定した治療結果が得られており、「生活の質を上げる」こともできるため、人工股関節置換術を希望される方も増えてきています。
THAの手術実績はこちら人工股関節置換術(THA)に関するご相談は整形外科まで
整形外科の診療時間はこちら対応症例
- 各種骨折
- 外反母趾
- 圧迫骨折
- 変形性関節症(股関節・膝関節)
手術実績
2025年度
| 4月 | 5月 | 6月 | 7月 | 8月 | 9月 | 10月 | 11月 | 12月 | 1月 | 2月 | 3月 | 合計 | |
|---|---|---|---|---|---|---|---|---|---|---|---|---|---|
| ●股関節 | |||||||||||||
| 人工関節 |
22 |
23 |
22 |
32 |
23 |
25 |
27 |
20 |
20 |
214 |
|||
| 骨切り術 |
3 |
0 |
1 |
1 |
1 |
1 |
0 |
4 |
0 |
11 |
|||
| ●膝関節 | |||||||||||||
| 人工関節 |
3 |
4 |
2 |
0 |
1 |
2 |
0 |
1 |
1 |
14 |
|||
| 骨切り術・半月板 |
0 |
1 |
3 |
2 |
2 |
1 |
1 |
0 |
4 |
14 |
|||
| 末梢神経ラジオ波焼灼 |
0 |
0 |
0 |
0 |
0 |
0 |
0 |
7 |
4 |
11 |
|||
| ●肩関節 |
4 |
1 |
1 |
3 |
3 |
2 |
1 |
3 |
3 |
21 |
|||
| ●脊椎 | |||||||||||||
| 脊椎固定術 |
0 |
0 |
0 |
0 |
0 |
0 |
1 |
0 |
3 |
4 |
|||
| 経皮的椎体形成術 |
0 |
0 |
0 |
0 |
0 |
0 |
0 |
0 |
2 |
2 |
|||
| ●骨接合 | |||||||||||||
| 上肢 |
1 |
1 |
0 |
1 |
1 |
1 |
1 |
1 |
1 |
8 |
|||
| 下肢 |
4 |
0 |
2 |
2 |
3 |
1 |
1 |
0 |
3 |
16 |
|||
| ●抜釘 |
1 |
1 |
2 |
1 |
2 |
2 |
3 |
2 |
3 |
17 |
|||
| ●外反母趾 |
0 |
0 |
0 |
0 |
1 |
0 |
0 |
0 |
0 |
1 |
|||
| ●その他 |
3 |
4 |
3 |
3 |
0 |
0 |
7 |
7 |
2 |
29 |
|||
| 【合計】 |
41 |
35 |
36 |
45 |
37 |
35 |
42 |
46 |
46 |
363 |
2024年度
| 4月 | 5月 | 6月 | 7月 | 8月 | 9月 | 10月 | 11月 | 12月 | 1月 | 2月 | 3月 | 合計 | |
|---|---|---|---|---|---|---|---|---|---|---|---|---|---|
| ●股関節 | |||||||||||||
| 人工関節 |
21 |
19 |
13 |
15 |
27 |
24 |
26 |
20 |
18 |
24 |
22 |
20 |
249 |
| 骨切り術 |
1 |
1 |
1 |
0 |
0 |
1 |
3 |
0 |
0 |
1 |
1 |
0 |
9 |
| ●膝関節 | |||||||||||||
| 人工関節 |
1 |
2 |
5 |
6 |
7 |
3 |
4 |
5 |
4 |
1 |
1 |
5 |
44 |
| 骨切り術・半月板 |
4 |
3 |
2 |
2 |
3 |
2 |
4 |
3 |
1 |
2 |
1 |
1 |
28 |
| ●肩関節 |
0 |
0 |
0 |
0 |
2 |
3 |
2 |
1 |
2 |
5 |
1 |
3 |
19 |
| ●脊椎 | |||||||||||||
| 脊椎固定術 |
0 |
0 |
2 |
0 |
1 |
0 |
0 |
2 |
0 |
1 |
0 |
0 |
6 |
| 経皮的椎体形成術 |
0 |
0 |
0 |
1 |
1 |
0 |
0 |
0 |
0 |
1 |
0 |
0 |
3 |
| ●骨接合 | |||||||||||||
| 上肢 |
1 |
1 |
2 |
2 |
1 |
3 |
2 |
3 |
1 |
1 |
2 |
0 |
19 |
| 下肢 |
1 |
2 |
0 |
2 |
2 |
2 |
3 |
1 |
3 |
2 |
3 |
1 |
22 |
| ●抜釘 |
5 |
6 |
4 |
4 |
3 |
4 |
1 |
3 |
3 |
1 |
1 |
3 |
38 |
| ●外反母趾 |
2 |
0 |
0 |
0 |
0 |
1 |
0 |
1 |
0 |
0 |
0 |
0 |
4 |
| ●その他 |
4 |
3 |
6 |
1 |
2 |
5 |
7 |
2 |
5 |
2 |
2 |
3 |
42 |
| 【合計】 |
40 |
37 |
35 |
33 |
49 |
48 |
52 |
41 |
37 |
41 |
34 |
36 |
483 |
2023年度
| 4月 | 5月 | 6月 | 7月 | 8月 | 9月 | 10月 | 11月 | 12月 | 1月 | 2月 | 3月 | 合計 | |
|---|---|---|---|---|---|---|---|---|---|---|---|---|---|
| ●股関節 | |||||||||||||
| 人工関節 |
11 |
7 |
16 |
13 |
16 |
9 |
10 |
18 |
10 |
9 |
17 |
16 |
152 |
| 骨切り術 |
1 |
0 |
1 |
1 |
1 |
2 |
1 |
1 |
1 |
0 |
2 |
2 |
13 |
| ●膝関節 | |||||||||||||
| 人工関節 |
0 |
1 |
1 |
3 |
2 |
2 |
3 |
2 |
0 |
2 |
3 |
3 |
22 |
| 骨切り術・半月板 |
5 |
8 |
3 |
4 |
3 |
4 |
4 |
1 |
3 |
2 |
4 |
6 |
47 |
| ●肩関節 |
2 |
2 |
2 |
3 |
1 |
0 |
1 |
1 |
0 |
3 |
1 |
0 |
16 |
| ●脊椎 | |||||||||||||
| 脊椎固定術 |
0 |
0 |
1 |
1 |
0 |
1 |
0 |
0 |
0 |
0 |
1 |
0 |
4 |
| 経皮的椎体形成術 |
0 |
0 |
0 |
0 |
0 |
1 |
0 |
0 |
0 |
0 |
0 |
0 |
1 |
| ●骨接合 | |||||||||||||
| 上肢 |
2 |
1 |
2 |
1 |
1 |
0 |
0 |
1 |
3 |
0 |
1 |
1 |
13 |
| 下肢 |
2 |
2 |
2 |
1 |
1 |
2 |
2 |
1 |
1 |
3 |
1 |
3 |
21 |
| ●抜釘 |
2 |
0 |
1 |
0 |
4 |
1 |
1 |
0 |
1 |
0 |
3 |
3 |
16 |
| ●腫瘍摘出 |
0 |
0 |
0 |
0 |
0 |
0 |
0 |
0 |
0 |
0 |
0 |
0 |
0 |
| ●その他 |
3 |
0 |
2 |
2 |
3 |
1 |
2 |
4 |
2 |
3 |
0 |
2 |
24 |
| 【合計】 |
28 |
21 |
31 |
29 |
32 |
23 |
24 |
29 |
21 |
22 |
33 |
36 |
329 |
2022年度
| 4月 | 5月 | 6月 | 7月 | 8月 | 9月 | 10月 | 11月 | 12月 | 1月 | 2月 | 3月 | 合計 | |
|---|---|---|---|---|---|---|---|---|---|---|---|---|---|
| ●股関節 | |||||||||||||
| 人工関節 |
14 |
12 |
10 |
12 |
11 |
14 |
7 |
15 |
11 |
10 |
8 |
12 |
136 |
| 骨切り術 |
0 |
1 |
2 |
1 |
1 |
2 |
1 |
0 |
0 |
0 |
0 |
0 |
8 |
| ●膝関節 | |||||||||||||
| 人工関節 |
4 |
3 |
3 |
3 |
2 |
2 |
7 |
3 |
1 |
2 |
1 |
1 |
32 |
| 骨切り術・半月板 |
3 |
2 |
7 |
2 |
4 |
0 |
4 |
0 |
0 |
2 |
2 |
1 |
27 |
| ●肩関節 |
0 |
1 |
0 |
0 |
0 |
4 |
4 |
1 |
2 |
4 |
2 |
2 |
20 |
| ●脊椎 | |||||||||||||
| 脊椎固定術 |
0 |
0 |
0 |
0 |
0 |
0 |
0 |
0 |
0 |
0 |
0 |
1 |
1 |
| 経皮的椎体形成術 |
0 |
0 |
1 |
0 |
0 |
1 |
1 |
2 |
0 |
1 |
1 |
1 |
8 |
| ●骨接合 | |||||||||||||
| 上肢 |
0 |
0 |
0 |
0 |
0 |
0 |
1 |
3 |
1 |
0 |
4 |
2 |
11 |
| 下肢 |
4 |
0 |
3 |
2 |
1 |
2 |
2 |
2 |
5 |
2 |
2 |
6 |
31 |
| ●抜釘 |
2 |
2 |
2 |
2 |
2 |
1 |
0 |
0 |
1 |
1 |
2 |
3 |
18 |
| ●腫瘍摘出 |
0 |
0 |
2 |
0 |
0 |
3 |
1 |
1 |
0 |
2 |
0 |
1 |
10 |
| ●その他 |
3 |
0 |
9 |
3 |
5 |
5 |
8 |
3 |
5 |
4 |
2 |
5 |
52 |
| 【合計】 |
30 |
21 |
39 |
25 |
26 |
34 |
36 |
30 |
26 |
28 |
24 |
35 |
354 |
2021年度
| 4月 | 5月 | 6月 | 7月 | 8月 | 9月 | 10月 | 11月 | 12月 | 1月 | 2月 | 3月 | 合計 | |
|---|---|---|---|---|---|---|---|---|---|---|---|---|---|
| ●股関節 | |||||||||||||
| 人工関節 |
7 |
6 |
4 |
7 |
3 |
7 |
8 |
8 |
12 |
7 |
8 |
8 |
85 |
| 骨切り術 |
0 |
1 |
2 |
2 |
1 |
2 |
0 |
0 |
0 |
0 |
1 |
0 |
9 |
| ●膝関節 | |||||||||||||
| 人工関節 |
0 |
0 |
1 |
0 |
0 |
1 |
0 |
0 |
2 |
0 |
2 |
1 |
7 |
| 骨切り術・半月板 |
0 |
0 |
2 |
0 |
0 |
1 |
0 |
0 |
1 |
2 |
1 |
3 |
10 |
| ●脊椎 | |||||||||||||
| 脊椎固定術 |
2 |
3 |
1 |
0 |
0 |
0 |
0 |
0 |
1 |
1 |
0 |
0 |
8 |
| 経皮的椎体形成術 |
1 |
5 |
1 |
0 |
0 |
0 |
3 |
2 |
2 |
1 |
0 |
0 |
15 |
| ●骨接合 | |||||||||||||
| 上肢 |
1 |
0 |
1 |
1 |
0 |
0 |
4 |
0 |
0 |
0 |
0 |
0 |
7 |
| 下肢 |
2 |
1 |
2 |
3 |
0 |
4 |
6 |
3 |
4 |
2 |
2 |
4 |
33 |
| ●抜釘 |
1 |
0 |
2 |
0 |
0 |
2 |
2 |
3 |
4 |
2 |
2 |
1 |
19 |
| ●腫瘍摘出 |
2 |
0 |
0 |
0 |
0 |
1 |
3 |
0 |
0 |
0 |
0 |
1 |
7 |
| ●その他 |
0 |
2 |
1 |
0 |
5 |
1 |
1 |
0 |
2 |
3 |
0 |
2 |
17 |
| 【合計】 |
16 |
18 |
17 |
13 |
9 |
19 |
27 |
16 |
28 |
18 |
16 |
20 |
217 |